
L’evoluzione dell’ortodonzia invisibile
L’ortodonzia BFT rappresenta l’evoluzione più avanzata dei trattamenti ortodontici invisibili. Si tratta di un apparecchio ortodontico di ultima generazione, ideato dal Dr. Vincenzo De Dominicis – specialista in Ortognatodonzia e parte dello staff medico degli Studi Campagna.
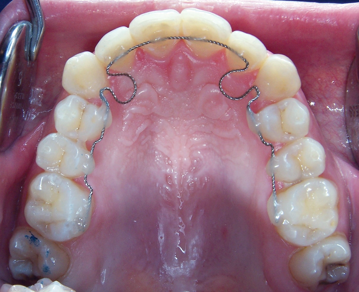
Questa tecnica si distingue perché riesce a rendere l’apparecchio realmente invisibile: viene applicato sulla superficie interna dei denti e non utilizza i classici attacchi (“stelline”), garantendo comfort e discrezione totali.
Tanti vantaggi
l’apparecchio BFT è:
Perché scegliere l’ortodonzia BFT negli Studi Campagna
A differenza di altre tecniche di ortodonzia invisibile, l’apparecchio BFT riesce a coniugare discrezione ed efficacia senza compromessi. Negli Studi Campagna hai la certezza di affidarti a professionisti qualificati e certificati direttamente dal suo ideatore.
Un trattamento innovativo e unico che ti consente di ottenere un sorriso perfetto senza mostrare alcun dispositivo ortodontico.









