
L’apparecchio di sempre non è più l’apparecchio di sempre
L’ortodonzia fissa rappresenta ancora oggi una delle soluzioni più efficaci e affidabili per correggere la posizione dei denti e migliorare la funzionalità del sorriso.
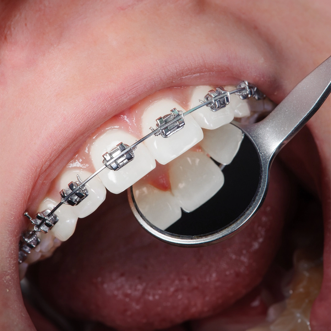
Grazie ai progressi della terapia ortodontica fissa, lo Studio Campagna propone trattamenti personalizzati per adolescenti e adulti, utilizzando brackets ortodontici sempre più piccoli, discreti ed esteticamente gradevoli. In particolare, gli attacchi in zaffiro trasparente permettono di unire l’efficacia dell’apparecchio fisso tradizionale con un impatto estetico ridotto.
I vantaggi dell’apparecchio fisso
la terapia ortodontica fissa consente risultati stabili e duraturi. Ma i vantaggi sono diversi:
Precisione: i brackets ortodontici guidano i denti con movimenti controllati.
Estetica migliorata: l’ortodonzia fissa estetica con attacchi in zaffiro è discreta e poco visibile.
Risultati certi: l’apparecchio fisso assicura correzioni anche nei casi più difficili.
Attenzione anche al comfort
Scegliere l’apparecchio bracket significa affidarsi a una soluzione sicura e testata, che permette di raggiungere risultati ortodontici eccellenti sia dal punto di vista estetico che funzionale.
All’interno degli Studi Campagna, i trattamenti di ortodonzia fissa sono progettati su misura, con particolare attenzione al comfort del paziente e ai tempi di terapia, che risultano oggi più rapidi rispetto al passato.

Le risposte alle tue domande
La terapia ortodontica fissa è un trattamento odontoiatrico che utilizza brackets ortodontici incollati in modo permanente sulla superficie dei denti, collegati da archi metallici o estetici. Questi componenti lavorano insieme esercitando forze leggere e costanti, capaci di guidare gradualmente i denti verso la posizione corretta.
Questa metodica rappresenta una delle soluzioni più efficaci in ortodonzia perché consente di:
-
trattare malocclusioni complesse e disallineamenti dentali significativi;
-
ottenere movimenti dentali precisi e controllati nel tempo;
-
garantire risultati stabili e duraturi, grazie all’azione continua dell’apparecchio;
-
offrire varianti estetiche come i brackets trasparenti in zaffiro, ideali per chi desidera una terapia meno visibile.
La terapia ortodontica fissa è indicata per adolescenti e adulti e viene personalizzata in base alle esigenze cliniche di ciascun paziente. Il percorso prevede controlli periodici, durante i quali l’ortodontista regola gli archi ortodontici per favorire lo spostamento corretto dei denti e monitorare i progressi.
In sintesi, la terapia fissa rimane il punto di riferimento in ortodonzia per chi desidera ottenere un sorriso armonioso, funzionale ed esteticamente piacevole, con la sicurezza di risultati duraturi nel tempo.
L’ortodonzia fissa è una tecnica ortodontica tradizionale ma ancora oggi molto efficace che prevede l’utilizzo di un apparecchio fisso composto da brackets (piccoli attacchi metallici o estetici in zaffiro trasparente) e archi ortodontici collegati tra loro. Questo sistema permette di applicare forze leggere e costanti sui denti, guidandoli gradualmente verso la posizione ideale.
L’apparecchio fisso rappresenta una delle soluzioni più affidabili per correggere:
-
malocclusioni dentali di diversa gravità;
-
disallineamenti importanti che richiedono movimenti controllati e duraturi;
-
problemi di occlusione che possono compromettere la funzionalità masticatoria.
Grazie ai progressi tecnologici, oggi l’ortodonzia fissa offre opzioni più discrete ed estetiche, come i brackets in zaffiro trasparente, che uniscono l’efficacia del trattamento tradizionale a un impatto visivo ridotto.
In sintesi, l’ortodonzia fissa consente di ottenere un sorriso allineato, sano e armonioso, garantendo risultati stabili e a lungo termine sia per adolescenti che per adulti.
Un apparecchio fisso per denti è un dispositivo ortodontico non rimovibile che rimane in bocca per tutta la durata del trattamento. È composto da brackets (piccoli attacchi metallici o estetici in zaffiro trasparente) incollati sulla superficie dei denti e collegati tra loro da un filo ortodontico, che esercita forze leggere e costanti per guidare gradualmente i denti nella posizione corretta.
A differenza degli apparecchi mobili, che il paziente può togliere, l’apparecchio fisso permette un controllo continuo e preciso dei movimenti dentali, rendendolo la soluzione ideale per trattare malocclusioni complesse o disallineamenti marcati.
I principali vantaggi sono:
-
possibilità di ottenere risultati stabili e duraturi;
-
correzione anche dei casi più difficili di occlusione e disallineamento dentale;
-
disponibilità di versioni più discrete ed estetiche, come i brackets in zaffiro trasparente.
L’apparecchio ortodontico fisso resta quindi ancora oggi una delle terapie più affidabili ed efficaci per migliorare sia la funzionalità masticatoria sia l’estetica del sorriso, con un approccio personalizzato per adolescenti e adulti.
La principale differenza tra ortodonzia fissa e ortodonzia mobile riguarda il tipo di apparecchio utilizzato e il livello di complessità del trattamento.
-
L’ortodonzia fissa utilizza brackets ortodontici applicati in modo permanente sui denti e collegati da fili metallici. L’apparecchio fisso non può essere rimosso dal paziente e rimane in bocca per tutta la durata della terapia. È indicato nei casi più complessi perché consente di ottenere correzioni precise, controllate e durature, sia a livello estetico che funzionale. Oggi, grazie ai brackets in zaffiro trasparente, l’apparecchio fisso può essere anche molto discreto.
-
L’ortodonzia mobile, invece, prevede l’uso di apparecchi rimovibili che il paziente può togliere e indossare in autonomia. Questo tipo di trattamento è solitamente indicato per correzioni più semplici, come piccoli spostamenti dentali o mantenimento della posizione dopo la rimozione dell’apparecchio fisso. Richiede però grande collaborazione da parte del paziente, che deve indossarlo per un numero sufficiente di ore al giorno.
In sintesi, mentre l’ortodonzia fissa assicura un controllo costante e risultati più stabili anche nei casi complessi, l’ortodonzia mobile è più flessibile e comoda, ma adatta solo a situazioni meno gravi o come supporto post-trattamento.
Le cure odontoiatriche conservative sono trattamenti mirati a preservare i denti naturali, intervenendo in caso di carie, fratture o lesioni che compromettono la struttura del dente, senza ricorrere all’estrazione. L’obiettivo principale è conservare il più possibile il tessuto dentale sano, ripristinando al tempo stesso funzionalità ed estetica.
Tra le principali cure conservative rientrano:
-
le otturazioni, utilizzate per riempire le cavità causate dalla carie con materiali estetici e resistenti;
-
gli intarsi dentali, soluzioni intermedie tra otturazione e corona, indicate quando la parte di dente compromessa è più estesa;
-
le ricostruzioni dentali, che permettono di ripristinare la forma e la funzione del dente danneggiato.
Questi trattamenti possono essere eseguiti anche in combinazione con terapie ortodontiche, come l’ortodonzia fissa, per garantire un sorriso sano, funzionale e ben allineato.
Le cure conservative svolgono quindi un ruolo fondamentale in odontoiatria: non solo eliminano la patologia (come la carie), ma consentono di mantenere il dente naturale, assicurando nel tempo durata, resistenza e un risultato estetico ottimale.
La durata del trattamento con apparecchio ortodontico fisso dipende dalla complessità del caso clinico e dagli obiettivi terapeutici stabiliti dall’ortodontista. In media, il tempo necessario varia dai 12 ai 30 mesi, ma in alcuni pazienti può essere più breve o, nei casi particolarmente complessi, più lungo.
I fattori che influenzano la durata sono diversi:
-
il tipo e la gravità della malocclusione dentale;
-
la necessità di correggere non solo l’allineamento dei denti, ma anche la funzione masticatoria e l’occlusione;
-
la collaborazione del paziente nel mantenere una corretta igiene orale e nel rispettare le indicazioni dello specialista;
-
eventuali trattamenti combinati con altre terapie odontoiatriche.
In ogni caso, l’ortodonzia fissa assicura risultati stabili e duraturi, poiché i denti vengono spostati gradualmente con movimenti controllati. Dopo la rimozione dell’apparecchio, il trattamento viene completato con l’uso di retainer di contenzione, fondamentali per mantenere nel tempo i risultati raggiunti.
In sintesi, solo una valutazione personalizzata presso lo Studio Campagna può definire con precisione quanto tempo sarà necessario portare l’apparecchio fisso, garantendo un percorso terapeutico mirato e sicuro.
L’apparecchio ortodontico fisso funziona grazie all’applicazione di brackets ortodontici (piccoli attacchi) fissati sulla superficie esterna dei denti e collegati tra loro da archi metallici. Questi archi esercitano forze leggere e costanti che, nel tempo, guidano i denti a spostarsi gradualmente fino a raggiungere la posizione corretta.
Il meccanismo si basa su un principio biologico: la pressione continua esercitata sui denti stimola l’osso circostante a rimodellarsi, permettendo così lo spostamento dentale controllato e stabile.
I principali vantaggi dell’ortodonzia fissa sono:
-
correzione precisa anche dei casi complessi di malocclusione;
-
risultati duraturi, grazie a un movimento graduale e costante;
-
possibilità di utilizzare brackets estetici in zaffiro trasparente, che rendono l’apparecchio più discreto.
Durante il trattamento, il dentista effettua controlli periodici per regolare gli archi ortodontici e monitorare i progressi. In questo modo l’apparecchio fisso garantisce un allineamento ottimale del sorriso, migliorando non solo l’estetica ma anche la funzionalità masticatoria.
Prenota la tua visita o vieni a trovarci
Via Pola, 11 95127 Catania CT
Via Teseo, 13 95126 Catania CT
+39 095 371037
+39 392 292 8015
info@studicampagna.it








